3歲寶寶正處於乳牙列期,乳牙不僅幫助寶寶咀嚼食物、輔助發音,還爲恆牙萌出預留空間,對口腔發育至關重要。但由於飲食結構不當、口腔護理缺失等原因,不少3歲寶寶出現了牙腐蝕問題,表現爲牙齒表面脫礦、變色、出現小凹陷甚至缺損。牙腐蝕若不及時補救,會引發疼痛、影響進食,還可能影響恆牙健康。瞭解寶寶牙腐蝕的補救方法和預防措施,是守護寶寶口腔健康的關鍵。
一、3歲寶寶牙腐蝕的常見原因
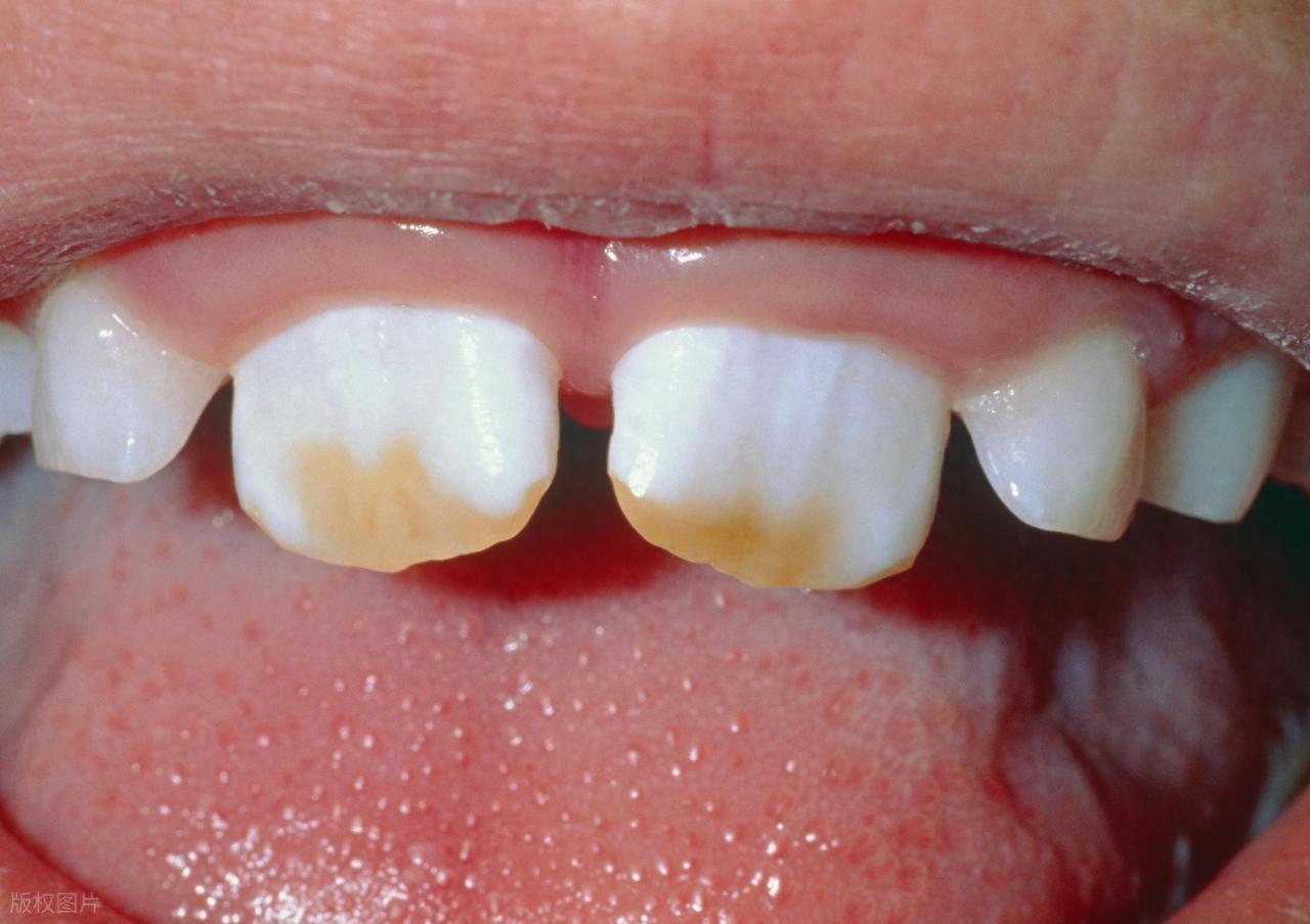
1.飲食因素:糖分攝入過多且頻率高
寶寶常喫糖果、蛋糕、巧克力等甜食,或頻繁飲用含糖飲料、果汁,會使口腔內細菌大量繁殖。細菌分解糖分後產生酸性物質,這些酸性物質會侵蝕牙齒表面的牙釉質,導致牙釉質脫礦,進而引發牙腐蝕。尤其是睡前喝奶或喫糖後不清潔口腔,酸性物質在口腔內停留時間過長,對牙齒的腐蝕作用更強。
2.口腔護理不當:清潔不及時或方法錯誤
部分家長未重視寶寶的口腔清潔,或清潔方法不正確。3歲寶寶雖已能自主漱口,但刷牙仍需家長輔助,若未堅持早晚刷牙、飯後漱口,食物殘渣會附着在牙齒表面,爲細菌滋生提供條件。此外,刷牙時未徹底清潔牙齒縫隙、牙齦溝等部位,也會導致牙腐蝕隱患。

3.唾液分泌及結構因素
寶寶唾液分泌量相對較少,且唾液中緩衝酸性物質的能力較弱,難以中和口腔內的酸性環境,導致牙齒更容易受到腐蝕。同時,部分寶寶存在牙齒排列不齊、牙縫過大等問題,食物殘渣更易堆積,增加牙腐蝕的發生概率。
二、3歲寶寶牙腐蝕的補救措施
1.輕度腐蝕:加強日常護理逆轉
若寶寶牙齒僅出現表面脫礦、白斑或輕微變色,未形成明顯缺損,可通過強化口腔護理逆轉。一是調整飲食結構,減少甜食、含糖飲料的攝入,控制進食頻率,避免睡前餵食含糖食物;二是堅持科學刷牙,家長使用兒童專用軟毛牙刷和含氟牙膏(用量爲米粒大小),每天早晚輔助寶寶刷牙,刷牙時間不少於2分鐘,確保牙齒各面清潔到位;三是飯後及時漱口,使用溫水或兒童專用漱口液,清除口腔內殘留食物殘渣和部分酸性物質。

2.中重度腐蝕:及時就醫專業干預
若寶寶牙齒出現明顯凹陷、缺損,或伴隨疼痛、敏感等症狀,需立即前往兒童口腔科就診。醫生會根據腐蝕情況採取相應治療措施:對於缺損較小的牙齒,可進行局部塗氟處理,增強牙齒抗腐蝕能力;對於缺損較明顯但未傷及牙髓的牙齒,可採用兒童專用樹脂材料進行充填修復,恢復牙齒的形態和功能;若腐蝕已傷及牙髓,引發牙髓炎或根尖周炎,則需進行牙髓治療,消除炎症後再進行修復。
三、3歲寶寶牙腐蝕的預防方法
1.科學調整飲食
控制寶寶糖分攝入,多給寶寶喫新鮮蔬菜、水果、奶製品等富含鈣、磷的食物,增強牙齒礦化能力。避免讓寶寶含着奶瓶睡覺,餵奶後及時用溫水清潔口腔。減少零食進食頻率,若需加餐,選擇無糖酸奶、全麥麪包等健康食物,避免頻繁餵食甜食。

2.培養良好口腔護理習慣
從寶寶萌出第一顆乳牙開始,家長就應使用無菌紗布或指套牙刷爲其清潔口腔;2歲後逐漸過渡到兒童專用牙刷,3歲左右開始使用含氟牙膏(嚴格控制用量)。每天早晚固定刷牙時間,形成規律,同時教會寶寶飯後漱口,保持口腔清潔。
3.定期進行口腔檢查
每3-6個月帶寶寶到正規醫院兒童口腔科進行一次口腔檢查,醫生能及時發現牙齒早期腐蝕跡象,並給予專業的護理指導。此外,可根據醫生建議定期爲寶寶進行牙齒塗氟,增強牙釉質的抗酸能力,預防牙腐蝕發生。
3歲寶寶牙腐蝕並非小事,家長需提高重視,及時採取補救措施,同時做好預防工作。通過科學的飲食調整、規範的口腔護理和定期的口腔檢查,能有效改善寶寶牙腐蝕問題,守護乳牙健康,爲恆牙萌出打下良好基礎,讓寶寶擁有健康的口腔和燦爛的笑容。




