最近13 歲男孩感染甲流一天肺變白的新聞刷爆熱搜,不少人看完嚇出一身冷汗:“白肺不是新冠纔有的嗎?流感怎麼也這麼狠?”
真不是危言聳聽!流感引發的 “白肺”,比你想象中更兇險 —— 可能前一天還只是發燒咳嗽,第二天就呼吸困難,甚至危及生命。今天就用大白話跟你說透:流感白肺到底是什麼、誰最危險、出現哪些信號必須立刻去醫院!

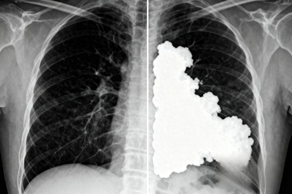
一、啥是 “流感白肺”?簡單說:肺被 “淹” 了
先澄清:“白肺” 不是病名,是醫生看 X 光片時的 “黑轉白” 現象 ——
- 正常的肺裏全是空氣,X 光片上是黑乎乎的;
- 一旦流感病毒攻進肺部,引發嚴重炎症,肺泡就會被炎性液體、黏痰甚至膠凍狀的痰栓填滿,像泳池被泥沙堵死、水管被冰雕塞住,X 光片上就會出現大片白色區域。
這白色面積越大就越危險:超過 70% 的肺變白,意味着大部分肺泡沒法呼吸,人就會像溺水一樣缺氧,幾小時內可能呼吸衰竭!
更可怕的是它的速度:浙江 12 歲女孩發燒 1 天,左肺就全白了;河南那個 13 歲男孩,確診甲流後 24 小時內病情惡化,只能靠 ECMO(人工肺)續命。所以千萬別再把流感當 “扛幾天就好” 的小感冒!

二、爲啥肺會突然 “變白”?就像身體的 “防禦系統失控了”
流感病毒進入肺部後,會搞出兩個 “致命操作”:
- 肺泡被 “淹”:病毒攻擊肺的 “保護細胞”,導致肺泡裏的液體瘋狂滲出,原本用來換氣的空間全被水佔了,相當於肺在體內 “溺水”;
- 免疫風暴 “誤傷”:免疫系統想殺病毒,結果用力過猛,釋放大量炎症因子,不僅殺了病毒,還把健康的肺組織也 “燒” 了,甚至形成透明膜,徹底堵死氣體交換的路。
尤其是小朋友更危險:他們氣道窄、咳嗽沒力氣,黏痰排不出去,會結成 “膠凍狀痰栓”,像在細小的水管裏結冰,24 小時就能把氣道堵死,肺自然就快速變白了。
三、這 3 類人,最容易被流感白肺盯上
別覺得年輕就沒事!以下人羣感染流感後,發展成白肺的風險翻倍:
高危第一梯隊:2-12 歲兒童
- 氣道細、咳痰弱,痰容易堆在肺裏;
- 免疫系統沒長好,病毒一攻就破;
- 容易得 “塑型性支氣管炎”(簡單說就是痰栓堵氣道),佔流感白肺的 67%!
高危第二梯隊:成年人要警惕
- 65 歲以上老人(器官老化,恢復慢);
- 孕婦(孕期呼吸負擔重,免疫力特殊);
- 胖子(BMI>30,肺功能受影響,痰咳不出來);
- 有基礎病的人(糖尿病、心臟病、慢阻肺、免疫力低下等)。
隱藏高危組:年輕人別硬扛
- 長期熬夜、過度勞累的人(免疫力下降,病毒有機可乘);
- 營養不良、壓力大的人(身體沒力氣對抗病毒)。
杭州就有個 39 歲的女士,流感後硬扛了 3 天,結果肺迅速變白,差點沒救回來!

四、關鍵 48 小時!出現這些信號,立刻去醫院
流感發病後 48 小時是 “黃金救治期”,早用抗病毒藥(比如奧司他韋),能大幅降低得白肺的風險。不管大人小孩,出現以下任何一個症狀,別猶豫直接去急診!
兒童危險信號(佔一個就就醫)
- 呼吸特別快:每分鐘超過 40 次(正常 20-30 次),小嬰兒呼吸時胸口起伏特別大;
- 血氧飽和度≤93%(家裏備個幾十塊的血氧儀,每天測兩次);
- 鎖骨、肋骨之間凹陷(呼吸時看着很費力);
- 高燒超 39℃,喫退燒藥也降不下來,持續 3 天以上;
- 精神差:要麼昏昏欲睡,要麼哭鬧不止,喂水餵飯都抗拒。
成人危險信號(出現任一趕緊去)
- 呼吸急促:每分鐘≥30 次(正常 12-20 次),走兩步就喘;
- 血氧飽和度≤93%,或嘴脣、指甲發紫;
- 胸悶胸痛越來越嚴重,甚至睡不着覺;
- 意識模糊、說胡話,或者總想睡覺醒不來;
- 頻繁嘔吐腹瀉,沒力氣喝水,出現脫水(比如尿量明顯減少)。

五、怎麼防?就兩件事:打疫苗 + 別硬扛
預防流感白肺,沒有複雜的方法,核心就兩點,人人都能做到:
1. 接種流感疫苗(最有效!)
- 每年 9-10 月接種最好,能覆蓋 H3N2 等流行毒株;
- 高危人羣打了,重症風險能降 60%-70%;
- 就算打了還感染,症狀也會輕很多,不容易發展成白肺。
2. 別硬扛!發燒咳嗽別瞎折騰
- 流感不是自愈性疾病,尤其是高燒超過 3 天、呼吸費力時,別在家煮薑湯、喝板藍根拖延,趕緊去醫院開抗病毒藥;
- 家裏備個血氧儀,幾十塊錢,感冒期間每天測一測,比只看體溫更靠譜。
六、這些誤區千萬別踩!會要命!
❌ 誤區 1:白肺是新冠專屬→錯!流感、細菌感染都可能導致;
❌ 誤區 2:年輕就能硬扛→大錯!熬夜、勞累的年輕人,免疫力差,反而容易重症;
❌ 誤區 3:中藥能治重症流感→別自己瞎喫!比如含附子的方劑有毒,喫錯可能致死,必須遵醫囑;
❌ 誤區 4:防曬噴霧隨便用→小心!大量吸入酒精、推進劑等化學物質,可能誘發肺部炎症,增加白肺風險,用的時候別對臉噴,記得通風。

最後提醒:康復後別掉以輕心
就算救回來,部分白肺患者可能會留下 “肺疤痕”(肺纖維化),以後稍微活動就氣喘。所以康復後要:
- 戒菸 + 遠離二手菸、油煙、粉塵;
- 慢慢做呼吸訓練(比如腹式呼吸);
- 定期複查肺功能,別再熬夜勞累,避免再次感染。
現在全國流感已經進入高發期,家裏有老人、小孩、孕婦或慢性病患者的,一定要做好防護:戴口罩、勤洗手、少去人多的密閉場所,該打疫苗的趕緊安排!
記住:流感不是感冒,白肺不是傳說。早識別、早治療,才能保住自己和家人的命。趕緊轉發給你關心的人,別等出事才後悔!




